La Divisione di Radioterapia dell’Istituto Europeo di Oncologia propone nuovi approcci di radioterapia mammaria, il cui obiettivo è limitare gli effetti collaterali del trattamento e migliorare la qualità della vita delle donne con tumore al seno.
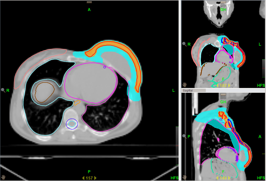
Al fine di ridurre intensità e frequenza degli effetti collaterali dovuti al trattamento radioterapico in seguito ad una ricostruzione mammaria, viene utilizzata la tecnica HALFMOON (semiluna), che consente di modulare l’irradiazione sulla mammella ricostruita dopo una mastectomia e risparmia protesi/espansore, garantendo la stessa efficacia terapeutica delle tecniche tradizionali (fig. 1).
PBI, Partial breast irradiation (irradiazione parziale della mammella): Per pazienti selezionate in base alle linee guida nazionali ed internazionali, la Divisione di Radioterapia propone l’irradiazione parziale del seno operato con radioterapia a fasci esterni. Le dimensioni limitate del campo di radioterapia e l’utilizzo della intensità modulata (IMRT) consentono di risparmiare i tessuti sani circostanti e il trattamento può essere eseguito in una settimana solo (fig. 2).
![]() |
![]() |
| Fig. 1 | Fig. 2 |
UN PICCOLO GESTO E' PER NOI UN GRANDE AIUTO
PER I PAZIENTI
PER IL PERSONALE MEDICO E SANITARIO
per i ricercatori
PER LE AZIENDE
PER I MEDIA
© 2013 Istituto Europeo di Oncologia - via Ripamonti 435 Milano - P.I. 08691440153 - Codice intermediario fatturazione elettronica: A4707H7
IRCCS - ISTITUTO DI RICOVERO E CURA A CARATTERE SCIENTIFICO






